疾病
医院
问医生
去挂号
新闻
育儿
减肥
两性
疾病
美容
男科
心理
中医
体检
查症状
查疾病
找医院
找专家
大医名院
搜医院
患者APP
搜医院
按地区找医院
按科室找专家
特色诊疗
特色诊疗
医院动态
疾病资讯
伟德中文版
>
疾病百科
>
伟德官网app
>
克-雅氏病性痴呆
疾病百科
大医名院
搜医院
特色医疗
医院动态
疾病资讯
克-雅氏病性痴呆
(克罗伊茨费尔特-雅各布病性痴呆)
概述
病因
症状
检查
治疗
并发症
预防
饮食
克-雅氏病性痴呆是什...
克-雅氏病性痴呆是由...
克-雅氏病性痴呆容易...
克-雅氏病性痴呆应该...
...
克-雅氏病性痴呆应该...
发病部位在哪里?
头部
应该挂什么科?
神经内科、普通内科
有什么典型症状?
暂无数据
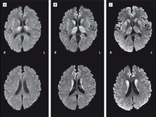
应该做哪些检查项目呢?
头部MRI、头部CT、脑电图(EEG)、气脑造影
这样的病症传染吗?
该病不具有传染性
高发人群?
发病年龄多在40~65岁
克-雅氏病性痴呆的病因
克-雅氏病性痴呆是由什么原因引起的?
更多
病因
文章>>
克-雅氏病性痴呆的临床表现
更多
症状
文章>>
克-雅氏病性痴呆的临床检查手段
克-雅氏病性痴呆容易与哪些疾病混淆?
克-雅氏病性痴呆应该做哪些检查?
更多
检查
文章>>
克-雅氏病性痴呆的西医治疗方法
前的注意事项
更多
治疗
文章>>
克-雅氏病性痴呆会引起哪些疾病?
更多
并发症
文章>>
克-雅氏病性痴呆应该如何预防?
克-雅氏病性痴呆应该如何预防?
更多
预防
文章>>
1型糖尿病性植物神经紊乱
1型糖尿病性神经炎
2型糖尿病性低血糖性昏迷
2型糖尿病性周围神经病变
2型糖尿病性神经炎
阿尔茨海默病
阿尔茨海默病性痴呆
阿-斯综合征
臂丛神经损伤
宾斯旺格病
5362人浏览
6529人浏览
5398人浏览
1364人浏览
9563人浏览
8564人浏览
7463人浏览
2963人浏览
3594人浏览
9532人浏览
优质专科医院推荐
更多>
成都武侯军盛医院
免费咨询
预约挂号
伊宁县癫痫病医院
免费咨询
预约挂号
北京国仁医院
免费咨询
预约挂号
北京建都医院
免费咨询
预约挂号
合肥康安癫痫病医院
免费咨询
预约挂号
更多
图文咨询
更多
白志诚
副主任医师
0
评价
96%
好评率
免费提问
预约挂号
陈长怀
主任医师
10
评价
95%
好评率
免费提问
预约挂号
李佩文
主任医师
1
评价
99%
好评率
免费提问
预约挂号
钱彦方
主任医师
8
评价
95%
好评率
免费提问
预约挂号
张文彭
主任医师
4
评价
98%
好评率
免费提问
预约挂号
老年痴呆症
帕金森
神经衰弱
头痛
耳鸣
脑膜炎
昏迷
阿尔茨海默病
结核性脑膜炎
紧张性头痛
三叉神经痛
共济失调
偏头痛
面肌瘫痪
面肌痉挛
梦游症
坐骨神经痛
癫痫
脑血栓后遗症
厌食症
癔症
脑血栓
脑积水
病毒性脑膜炎
病毒性脑炎
脑供血不足
智力障碍
瘫痪
脑梗死
脑中风
脑卒中
脑梗塞
老年性耳聋
肌无力综合征
1型糖尿病性植物神经紊乱
2型糖尿病性周围神经病变
阿尔茨海默病性痴呆
阿-斯综合征
痴呆
抽动障碍
创伤性脑梗塞
创伤性癫痫
垂体癌
多发性硬化
短暂性脑缺血发作
耳源性脑积水
额颞痴呆
耳源性眩晕
发作性睡病
肺性脑病
Friedreich共济失调症
高钠血症
橄榄体脑桥小脑萎缩
呼吸衰竭
颈部脊髓震荡
颈部脊髓水肿
颈部交感神经损伤
脊髓损伤
肌皮神经损伤
肩神经损伤
更多>>
推荐医院
周边医院
线上医院
陕西省老医协生殖医学医院
咸阳肿瘤医院
南京华厦白癜风
杭州华研白癜风医院
南京太乙堂中医院
上海丽质医疗美容门诊部
南昌博润综合门诊部
武汉环亚中医白癜风医院
山西太原银康银屑病医院
苏州肤康牛皮癣医院
长春阳光妇科医院
湖湘中医肿瘤医院
北京建都医院
广州现代医院国际肿瘤中心
成都博润白癜风医院
河北蕴育中西医结合医院
南京丁义山肛肠专科医院
广州新世纪医院
济南六一儿童医院
珠海九龙男科医院
郑州西京白癜风医院
成都曙光男科医院
成都曙光医院
成都曙光医院男科
北京卫人中医医院
兰州中研白癜风医院
昆明中研甲状腺医院
沈阳中科白癜风医院
杭州阿波罗医院
北京首大眼耳鼻喉医院
西安莲湖中童儿童康复医院
南昌市第十二医院
武汉同普精神心理专科
南宁西京白癜风医院
黑龙江九洲妇科医院
黑龙江远东心脑血管医院
北京华医中西医结合皮肤病医院
济南博润医院
北京紫荆医院
苏州瑞金白癜风医院
西安远大白癜风医院
陕西生殖医学医院
黄石德亚泌尿专科门诊部
长春航天生殖健康医院
成都中科甲状腺医院
成都武侯军盛医院
济南白癜风医院
广州中研白癜风医院
上海江城皮肤病医院
北京茗视光眼科医院
保定京济医院
山西惠民中西医结合医院
温州光明男科医院
兰州中医白癜风医院
石家庄远大中医皮肤病医院
苏州肤康皮肤病医院
天津红桥中都白癜风医院
盐城中研白癜风医院
济南中医肝病医院
南通复大白癜风
合肥华研白癜风医院
成都川蜀血管病医院
南京痛十凤医院
郑州痛风风湿病医院
贵阳强直医院
成都风湿医院
哈尔滨强直风湿医院
杭州肤康皮肤病医院
长春医附医院
合肥天使儿童医院
上海徐浦中医医院
上海一康嘉鼎医院
天津津门皮肤病医院
宁波海曙华仁皮肤专科门诊部
长沙中研皮肤病(白癜风)医院
河北中医肝病医院
医美科
沈阳肤康皮肤病医院
石家庄爱心中医院
石家庄爱心牛皮癣医院
石家庄爱心银屑病医院
石家庄爱心牛皮癣中医医院
北京建都医院
北京医院
北京仁安医院
北京呼吸病医院
北京甲状腺医院
北京崇文门中医院
北京中医医院
北京西京中医医院
北京丰台肿瘤医院
北京癫痫病医院
北京肛肠医院
北京血管瘤医院
北京肿瘤医院
北京风湿病医院
北京肛肠专科医院
北京中西医结合医院
北京胃肠病医院
北京甲状腺专科医院
北京德胜门中医院
北京肿瘤专科医院
北京前门国医堂中医院
北京心脑血管医院
北京癫痫病专科医院
中国中医科学院针灸医院
海军总医院
北京军颐中医医院
北京建都医院
广州白癜风专科医院
北京卫人白癜风医院
重庆牛皮癣医院
昆明人流医院
济南不孕不育医院
成都皮肤病医院
重庆妇科医院
上海妇科医院
北京嘉佩乐男科医院
北京性病医院
北京中医院精神康复科
河南医院
郑州癫痫病医院
郑州不孕不育专科医院
北京医院
太原男科医院
上海心胸科医院
郑州皮肤病医院
太原皮肤病医院
成都安琪儿妇产医院
北京仁安医院
上海皮肤病专科医院
郑州西京白癜风医院
广州华佑医院
郑州精神病医院
太原白癜风医院
重庆白癜风医院
广东癫痫医院
贵阳癫痫病医院
沈阳中亚白癜风中医医院
郑州整形美容医院
上海神经科医院
四川华西肝病研究所附属门诊部
山东省耳鼻喉医院
济南医院
北京不孕不育医院
上海专治不孕不育医院
北京呼吸病医院
武汉耳鼻喉医院
北京甲状腺医院
北京妇儿医院
北京崇文门中医院
成都癫痫病专科医院
广东儿童医院
北京中医医院
沈阳妇产医院
北京西京中医医院
北京崇文门中医院耳鼻喉科
合肥长淮中医医院口腔科
武汉仁安眼耳鼻喉医院
上海儿童医院
成都西南儿童康复医院
成都医学院附属不孕不育医院
北京丰台肿瘤医院
成都润禾皮肤病专科医院
南京妇科医院
上海癫痫医院
成都儿童医院
上海新科脑康医院精神科
上海新科脑康医院神经内科
南宁脑博仕医院精神科
安徽中医药临床研究中心附属医院
厦门不孕不育医院
北京口腔科医院
上海西郊骨科医院
上海和平眼科医院
汕头肤康皮肤病医院
贵阳精神病医院
潍坊男科专科医院
温州白癜风医院
杭州白癜风门诊部
昆明白癜风医院
南充白癜风医院
上海医院白癜风科
青岛银康白癜风医院
廊坊白癜风医院
潍坊白癜风医院
呼和浩特白癜风医院
南昌博润白癜风专病门诊
赣州白癜风医院
南京白癜风门诊
无锡白癜风专科医院
徐州白癜风医院
长春白癜风医院
衡阳白癜风医院
武汉中医白癜风医院
哈尔滨白癜风医院
洛阳白癜风医院
南阳白癜风医院
保定白癜风医院
海口白癜风医院
贵阳白癜风医院
汕头白癜风医院
深圳白癜风专科医院
深圳白癜风医院
茂名白癜风医院
湛江白癜风专科医院
兰州中研白癜风医院
抚州白癜风医院
泉州白癜风医院
上海普瑞眼科医院
昆明男科专科医院
太原妇科医院
长春性病专科医院
西安莲湖北大医院
重庆精神病医院
天津圣安医院
杭州红房子医院
昆明男性专科医院
深圳仁爱医院
贵阳癫痫病专科医院
北京眼科专科医院
北京朝阳门中西医结合医院
成都妇科医院
北京癫痫病医院
北京五洲医院
北京人和医院
大连美连达医院
山西黄河医院
郑州医大医院
重庆曙光医院
萧山御健医院
厦门妇科医院
济南爱尔医院
南京仁品医院
山西东大医院
重庆迪邦医院
杭州皮肤病医院
重庆癫痫医院
温州华医堂皮肤病医院
昆明皮肤病医院
上海癫痫病医院
上海皮肤病医院
浙江癫痫医院
西安皮肤病医院
西安肝病医院
太原皮肤病专科医院
杭州癫痫医院
临沂皮肤病医院
沈阳骨科医院
昆明癫痫医院
济南皮肤病医院
济宁皮肤病医院
西安癫痫医院
大连皮肤病医院
南昌皮肤病医院
南京皮肤病医院
武汉皮肤病医院
贵阳皮肤病医院
济南癫痫病医院
哈尔滨癫痫病医院
长沙骨科医院
太原癫痫病医院
哈尔滨骨科医院
深圳骨科医院
广州骨科医院
北京中医骨科医院
合肥骨科医院
南宁皮肤病医院
佛山皮肤病医院
贵阳肝病医院
南京胎记医院
珠海皮肤病医院
沈阳肝病医院
兰州皮肤病医院
泉州皮肤病医院
厦门皮肤病医院
北京皮肤病医院
重庆肛肠医院
杭州牛皮癣医院
乌鲁木齐牛皮癣医院
天津牛皮癣医院
成都牛皮癣医院
上海牛皮癣医院
山西太原银康银屑病医院
沈阳中北银屑病医院
苏州肤康牛皮癣医院
南京牛皮癣医院
长沙博润皮肤病医院
沈阳肛肠医院
郑州牛皮癣医院
贵阳牛皮癣医院
郑州肛肠医院
广州牛皮癣医院
广州癫痫病医院
北京牛皮癣医院
合肥癫痫病医院
保定肛肠医院
重庆皮肤病医院
重庆不孕不育医院
杭州不孕不育医院
杭州精神病医院
温州不孕不育医院
昆明不孕不育医院
天津精神病医院
南宁肛肠医院
天津不孕不育医院
成都精神病医院
广州胎记医院
成都不孕不育医院
上海精神病医院
上海不孕不育医院
济南不孕不育医院
沈阳精神病医院
石家庄外阴白斑医院
南京精神病医院
南京不孕不育医院
长春不孕不育医院
武汉不孕不育医院
武汉广爱医院精神科
郑州不孕不育医院
石家庄不孕不育医院
贵阳不孕不育医院
深圳不孕不育医院
兰州不孕不育医院
泉州不孕不育医院
福州不孕不育医院
合肥不孕不育医院
成都外阴白斑医院
长沙外阴白斑医院
郑州外阴白斑医院
北京肛肠医院
合肥肛肠医院
唐山胃肠医院
上海胃肠医院
长春外阴白斑医院
北京血管瘤医院
沈阳外阴白斑医院
石家庄眼科医院
上海儿童脑瘫医院
邯郸眼科医院
深圳眼科医院
福州眼科医院
广州儿科医院
北京儿科医院
南宁风湿病医院
北京口腔医院
东莞口腔医院
郑州口腔医院
西安胃肠医院
西安新城中大耳鼻喉医院
长沙耳鼻喉医院
沈阳眼科医院
杭州肿瘤医院
长沙眼科医院
武汉眼科医院
武汉肝病医院
昆明脑科医院
济南脑科医院
广州肝病医院
成都肿瘤医院
济南肿瘤医院
毕节肿瘤医院
北京肿瘤医院
杭州整形美容医院
绵阳整形美容医院
北京风湿病医院
唐山整形美容医院
海南整形美容医院
北京整形美容医院
合肥整形美容医院
上海甲状腺医院
南京甲状腺医院
郑州甲状腺医院
贵阳甲状腺医院
郑州医院
上海医院
西安医院
成都医院
上海血管瘤医院
北京人流医院
廊坊男科专科医院
南宁中医医院
上海男科医院
北京妇科医院
上海长宁男科专科医院
广州不孕不育医院
北京安琪儿医院
南京建国医院
南昌不孕不育医院
南宁男科专科医院
太原不孕不育医院
南通男科医院
内蒙古男科医院
濮阳男科医院
北京皮肤病专科医院
齐齐哈尔男科医院
淄博男科医院
珠海男科医院
成都白癜风医院
成都白癜风专科医院
北京肛肠专科医院
杭州皮肤科专科医院
青岛曙光医院
北京中西医结合医院
武汉耳鼻喉专科医院
泉州男科医院
北京胃肠病医院
北京劲松口腔医院
北京耳鼻喉医院
东莞不孕不育医院
南宁不孕不育医院
上海心胸科专科医院
济南中医医院
北京昌平华佑医院
上海血管瘤专科医院
沈阳不孕不育医院
北京儿童医院
济南甲状腺医院
济南精神科医院
济南男科医院
长沙不孕不育医院
杭州中医医院
上海男科专科医院
深圳男科医院
玉林不孕不育医院
上海精神科医院
上海骨科医院
武汉男科医院
东莞试管婴儿医院
沈阳男科医院
重庆泌尿外科医院
成都试管婴儿医院
北京甲状腺专科医院
常州男科医院
上海肿瘤医院
大连男科医院
上海尿道下裂医院
广州甲状腺医院
上海中医医院
石家庄男科医院
大同男科医院
上海儿科专科医院
烟台白癜风专科医院
长沙精神科医院
台州男科医院
大庆男科医院
上海眼科医院
上海妇产科医院
唐山男科医院
东莞男科医院
北京骨科医院
天津男科医院
福州男科医院
广州男科医院
威海男科医院
杭州耳鼻喉医院
太原泌尿外科医院
贵阳男科医院
济南胎记医院
上海医院
哈尔滨现代男科医院
洛阳肛肠医院
上海生殖医院
合肥男科医院
洛阳妇科医院
襄阳男科医院
湖州男科医院
苏州中医医院
南宁皮肤科医院
青岛眼科医院
上海抽脂医院
金华男科医院
昆明男科医院
南京耳鼻喉医院
徐州男科医院
无锡中医医院
廊坊男性专科医院
苏州儿科医院
临沂男科医院
烟台男科医院
成都妇科医院
长沙白癜风专科医院
上海眼病医院
上海种植牙医院
上海口腔医院
盐城男科医院
上海胎记医院
义乌男科医院
成都口腔医院
武汉中医医院
张家口曙光医院
漳州男科医院
上海妇科专科医院
重庆男科医院
北京德胜门中医院
广州皮肤病医院
长春皮肤病医院
杭州妇产医院
常州妇科医院
杭州妇科医院
北京整形医院
南京妇产医院
上海齿科医院
上海肛肠医院
武汉整形美容医院
广州儿童医院
北京胎记医院
武汉妇产医院
上海神经外科医院
南京中医医院
成都肝病医院
南京口腔医院
南京甲状腺专科医院
南京白癜风专科医院
南京精神科专科医院
杭州儿科医院
上海乳腺外科医院
上海中医专科医院
郑州乳腺外科医院
济南乳腺外科医院
太原乳腺外科医院
上海眼科专科医院
北京肿瘤专科医院
北京痤疮医院
太原子宫腺肌症医院
上海脑科医院
苏州皮肤科医院
北京妇产科医院
济南肿瘤专科医院
武汉口腔医院
郑州腺肌症医院
北京安琪妇产医院
邯郸男科医院
长沙肛肠医院
常州妇科专科医院
济南肛肠医院
重庆眼科医院
郑州男科医院
武汉肛肠医院
成都胃肠医院
长沙胃肠医院
北京乳腺外科医院
武汉肿瘤医院
上海耳鼻喉医院
武汉男科专科医院
济南肝病医院
武汉妇科医院
济南眼科医院
郑州眼科医院
武汉胃肠医院
长沙中医医院
南京骨科医院
温州妇科医院
昆明妇产医院
杭州肛肠医院
武汉癫痫病医院
上海健桥风湿病医院
沈阳性病医院
重庆性病医院
太原性病医院
杭州性病医院
大连性病医院
西安性病医院
南京性病医院
成都性病医院
天津性病医院
上海性病医院
长春性病医院
沈阳儿科医院
北京眼科医院
成都中医哮喘病医院
徐州妇产医院
长春癫痫病医院
南京癫痫病医院
南宁癫痫病医院
沈阳癫痫病医院
北京前门国医堂中医院
黑龙江精神病医院
青岛骨科医院
济南妇科专科医院
乌鲁木齐白癜风医院
宁波妇科医院
唐山白癜风医院
台州皮肤病医院
淄博皮肤病医院
邯郸白癜风医院
长沙和谐医院癫痫专科
广州妇产医院
天津妇科医院
西安妇科医院
广州妇科医院
廊坊妇科医院
广州耳鼻喉医院
宁波不孕不育医院
郑州妇科医院
哈尔滨耳鼻喉医院
唐山肠梗阻医院
合肥脑科医院
郑州肝病医院
北京眼科门诊
菏泽白癜风医院
昆明甲状腺医院
广州性病医院
泸州男科医院
枣庄男科医院
泰安男科医院
日照男科医院
德州男科医院
聊城男科医院
菏泽男科医院
滨州男科医院
东营男科医院
银川男科医院
咸阳男科医院
绍兴男科医院
扬州男科医院
济宁男科医院
洛阳男科医院
保定妇科医院
张家口妇科医院
唐山妇科医院
秦皇岛妇科医院
邯郸妇科医院
邢台妇科医院
承德妇科医院
沧州妇科医院
大同妇科医院
晋城妇科医院
忻州妇科医院
临汾妇科医院
沈阳妇科医院
大连妇科医院
抚顺妇科医院
丹东妇科医院
锦州妇科医院
营口妇科医院
铁岭妇科医院
朝阳妇科医院
葫芦岛妇科医院
长春阳光妇科医院
吉林妇科医院
呼和浩特妇科医院
包头妇科医院
呼伦贝尔妇科医院
哈尔滨妇科医院
牡丹江妇科医院
无锡妇科医院
苏州妇科医院
南通妇科医院
扬州妇科医院
盐城妇科医院
宿迁妇科医院
嘉兴妇科医院
舟山妇科医院
台州妇科医院
合肥妇科医院
蚌埠妇科医院
马鞍山妇科医院
宿州妇科医院
福州妇科医院
厦门妇科医院
泉州妇科医院
漳州妇科医院
南昌妇科医院
赣州妇科医院
青岛妇科医院
淄博妇科医院
烟台妇科医院
潍坊妇科医院
威海妇科医院
日照妇科医院
临沂妇科医院
菏泽妇科医院
开封妇科医院
十堰妇科医院
襄阳妇科医院
咸宁妇科医院
长沙妇科医院
深圳妇科医院
珠海妇科医院
汕头妇科医院
佛山妇科医院
堪江妇科医院
东莞妇科医院
南宁妇科医院
海口妇科医院
三亚妇科医院
南充妇科医院
贵阳妇科医院
昆明妇科医院
太原人流医院
西安儿科专科医院
成都儿科医院
肇庆试管婴儿医院
贵港试管婴儿医院
南宁眼科医院
成都武侯博仕胃肠病医院
义乌妇科医院
渭南男科医院
乌鲁木齐性病医院
台州腋臭医院
广州眼科医院
成都眼科医院
杭州眼科医院
西安眼科医院
苏州眼科医院
南京眼科医院
天津眼科医院
×
特约医生在线咨询
map